“眼皮跳动”丨面肌痉挛的现代外科治疗,我院神经外科成功实施“左侧面神经微血管减压术”
2025-09-19 15:43:35 1504
  • 收藏
    图片
    图片
    眼皮跳动
    面肌痉挛的现代外科治疗
    图片
    图片
    图片
    左侧面神经微血管减压术
    图片
    图片
    图片
    图片


    近日,我院神经外科成功为一名面肌痉挛患者实施“左侧面神经微血管减压术”,术后患者症状消失,恢复良好。该手术显著改善了患者的生活质量,展示了我院在功能性神经外科领域的精湛技术水平。



    一、什么是面肌痉挛?


    图片 1.png

    面肌痉挛(Hemifacial Spasm, HFS)是一种常见的颅神经疾病,表现为一侧面部肌肉不自主、阵发性、无痛性地抽搐。通常从眼轮匝肌开始,逐渐扩散至口角、颈阔肌等区域。该病虽不危及生命,但严重影响患者的视觉、言语、社交及心理健康。病因多为面神经在出脑干区受血管压迫,导致神经异常放电。常见于中老年人,女性稍多于男性。


    二、病情回顾


    患者李某某,因“左眼睑不自主抽动9个月,加重2个月”入院。术前MRI检查明确血管神经压迫关系。经充分术前评估,神经外科团队为其施行“左侧面神经微血管减压术”。

    图片 2.png

    微血管减压术

          微血管减压术(MVD)是目前国际公认的治疗面肌痉挛的首选方法,也是唯一能根治该病的方式。其优点包括:

    微创性:小骨窗、小切口,对脑组织损伤小;

    高效性:根治率高,可达90%以上;

    安全性:术中神经电生理监测保障手术精准度;

    恢复快:术后数日即可出院,不影响日常生活。

    图片 3.png

         手术采取小切口、小骨窗微创入路,在显微镜下将压迫面神经的责任血管与神经分离,并垫以Tefflon棉,彻底解除压迫。

    图片 4.png

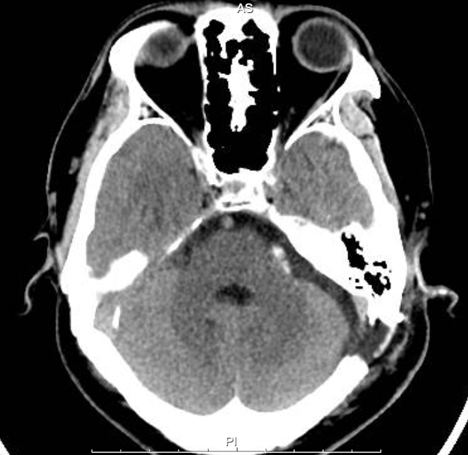
         术后患者左眼睑抽搐立即消失,复查CT显示颅内情况良好。

    图片 5.png

         患者术后恢复顺利,现已出院


    三、科普提示

    0
    1

    如果出现一侧面部不自主抽搐,应尽早前往神经外科或神经内科就诊。早期诊断和干预可避免症状加重和心理负担。MRI 3D-TOF序列成像可辅助明确诊断,微血管减压术是有效的治疗选择。

    02

    面肌痉挛虽不是致命疾病,却严重影响患者的身心健康。我院由神经内科、神经外科、康复科组成的多学科团队,在药物控制、肉毒素注射、针灸理疗及微创手术上提供全方位的服务。如有相关症状,建议尽早就医,获得专业诊治。

    END


    作者:刘浩宇

    一审:蒋开源

    二审:李文娟 阳媚

    三审:陈毅明

    医院平台码.png


    上一页:从城市医院到田间地头,“四级联动”健康行叩开乡村振兴“幸福门” 下一页:异物刺破十二指肠,内镜巧取化危机